
Wisdom Teeth Extraction
Our clinic offers wisdom teeth extraction, a common surgical procedure to remove impacted or problematic wisdom teeth.
Procedure Overview
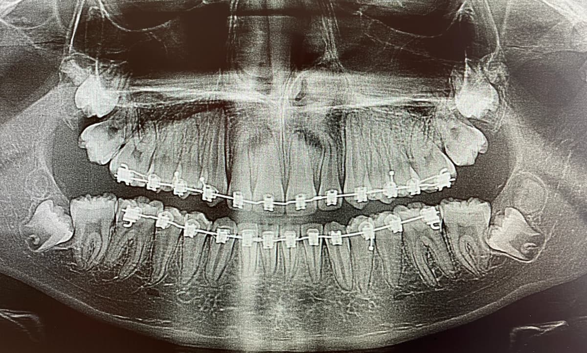
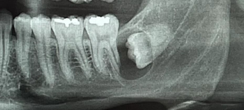
The extraction of wisdom teeth, also known as third molars, is a common dental procedure performed to remove teeth that cannot grow properly or cause dental problems. They are typically four in number and usually appear in the mouth between the ages of 15 and 25. They can fully erupt, be partially erupted, or be impacted. They typically do not have enough space in the mouth, so they are often misaligned and exert pressure on adjacent teeth, potentially causing damage. Extraction of wisdom teeth is often recommended when the teeth are impacted (trapped in the gum or bone) or causing problems such as pain, infection, tooth decay, shifting of other teeth, or the development of cysts. It is advisable to have them extracted at a young age, typically at the end of adolescence or early adulthood. Indeed, the risks increase with age, and recovery is easier at a younger age.



MesMaxillos - Contact Us
Contact us to schedule an appointment or to learn more about our maxillofacial surgery clinic in Montreal.
MesMaxillos Clinic
Office
Monday-Friday: 8AM-4:30PM
456 Boulevard Saint-Joseph, Montréal, QC H2J 1J7
(514) 600-3349
info@mesmaxillos.ca
Map
Anjou Dental Center
Office
Monday-Friday: 8AM-4:30PM
6359 Jean-Talon Est, Office 201, Montréal, QC H1S 3E7
(514) 254-2000
info@mesmaxillos.ca
Map
Vaudreuil-Dorion Clinic
Office
Monday-Friday: 8AM-4:30PM
486 Rue Chicoine #110, Vaudreuil-Dorion, QC J7V 7E4
(450) 455-1300
info@mesmaxillos.ca
Map
Maisonneuve-Rosemont Hospital
Office
5415 Assomption Blvd, Montreal, Quebec H1T 2M4
info@mesmaxillos.ca